珠海口腔医院

联合共建德国口腔标准
大湾区VIIV疑难数字化种植基地

接诊时间:09:00-18:00

官方客服:0756-8594084

主页 > 牙齿拥挤

2025-06-11

NEWS
如何判断自己是否患有牙齿拥挤
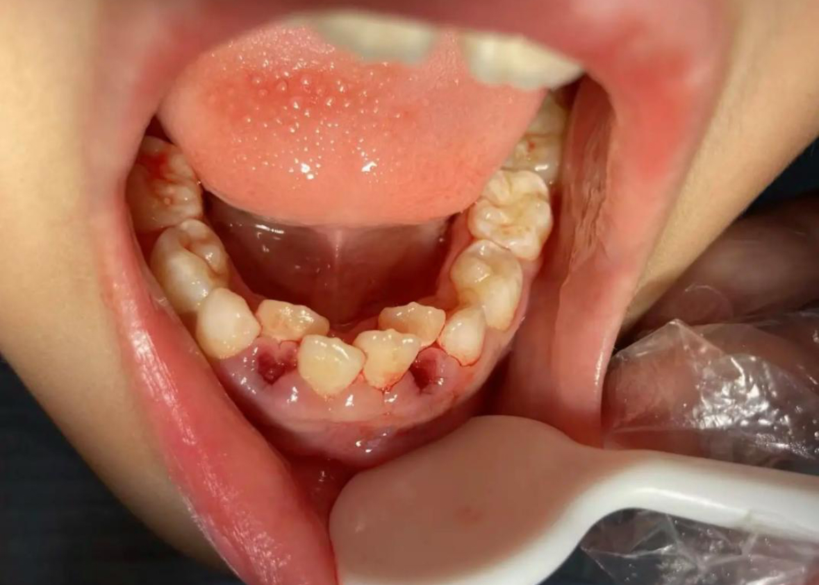
在现代生活中,越来越多的人开始关注自己的口腔健康与美观。牙齿拥挤(也称牙列拥挤)是常见的口腔问题之一,它不仅影响颜值,还可能引发一系列口腔疾病。那么,如何判断自己是否患有牙齿拥挤呢?珠海六和口腔医院将为你详细解析。
珠海六和口腔医院
什么是牙齿拥挤?
 
牙齿拥挤是指牙齿在上下颌骨中排列不整齐、空间不足,导致牙齿重叠、错位或扭转的现象。这种问题可能是先天遗传因素造成的,也可能由于后天不良习惯、乳牙早失、换牙异常等原因引起。
 
牙齿拥挤的常见表现
 
如果你发现自己有以下情况,可能就存在牙齿拥挤的问题:
 
1. 牙齿重叠
 
最直观的表现就是牙齿相互压在一起,尤其是前牙区域最为明显。牙齿无法正常排成一条直线,看起来“挤作一团”。
 
2. 牙齿旋转或倾斜
 
个别牙齿不在正确的位置上,而是向内或向外倾斜,甚至出现“歪脖子”的现象。
 
3. 牙齿缝隙过小或没有缝隙
 
正常牙齿之间会有一些自然的小间隙,而牙齿拥挤时,这些间隙被完全挤压掉,甚至连刷牙都变得困难。
 
4. 咬合不正
 
牙齿拥挤可能导致上下牙不能正常对齐,出现“地包天”、“天包地”等咬合异常的情况。
 
5. 刷牙困难、清洁不易
 
由于牙齿排列不整齐,牙刷难以深入清洁到每一颗牙齿,容易形成牙菌斑和牙结石,进而增加龋齿和牙龈炎的风险。
 
6. 咀嚼不适或效率下降
 
牙齿排列紊乱可能影响正常的咀嚼功能,导致食物无法充分咀嚼,影响消化吸收。
 
自我检查方法
 
你可以通过以下几个简单的自我检查步骤来初步判断是否存在牙齿拥挤:
 
步骤一:照镜子观察
 
站在镜子前,张开嘴巴观察牙齿的整体排列情况。如果发现牙齿明显重叠、错位或排列不齐,可能存在牙齿拥挤。
 
步骤二:用手触摸牙齿边缘
 
用手指轻轻滑过牙齿表面,感受是否有牙齿突出或凹陷,是否能顺畅地从一颗牙滑到另一颗牙。
 
步骤三:尝试闭嘴咬合
 
轻轻闭上嘴巴,让上下牙齿自然咬合,观察是否能正常接触,或者是否存在某几颗牙齿先接触、其他牙齿悬空的情况。
 
步骤四:刷牙是否困难
 
如果你每次刷牙都觉得有些角落刷不到,或者经常感觉某些地方特别容易塞牙,这可能也是牙齿拥挤的信号。
 
牙齿拥挤的危害有哪些?
 
很多人认为牙齿拥挤只是影响美观,其实它的危害远不止于此:
 
影响面部发育:尤其在儿童时期,牙齿拥挤可能影响颌骨正常发育,导致脸型不对称。
 
诱发口腔疾病:如牙龈炎、牙周病、龋齿等。
 
影响发音和咀嚼:严重的牙齿拥挤会影响正常的语言表达和进食功能。
 
心理压力增大:尤其是在青少年阶段,牙齿不齐可能带来自卑情绪,影响社交自信。
 
如何确诊牙齿拥挤?
 
虽然自我检查可以提供一些线索,但要准确判断是否患有牙齿拥挤,还需前往正规口腔机构进行专业诊断。医生通常会通过以下方式评估:
 
口腔检查:医生会直接观察你的牙齿排列和咬合情况。
 
X光片或CT扫描:了解牙齿根部位置、颌骨结构及是否存在埋伏牙等问题。
 
取模分析:制作牙模用于进一步分析牙齿排列状况和制定矫正方案。
 
发现牙齿拥挤怎么办?
 
一旦确诊为牙齿拥挤,应尽早干预治疗。常见的治疗方法包括:
 
传统金属托槽矫正:适用于大多数牙齿拥挤患者,效果显著。
 
隐形矫正器:如Invisalign,美观舒适,适合对外观要求较高的人群。
 
扩弓或拔牙:对于严重拥挤,可能需要扩大牙弓或拔除部分牙齿以腾出空间。
 
儿童早期干预:对于儿童,可以通过功能性矫治器引导颌骨正常发育。
 
总结
 
珠海六和口腔医院认为牙齿拥挤是一种常见但不可忽视的口腔问题。通过观察牙齿排列、咬合状态以及日常刷牙体验,我们可以初步判断是否存在牙齿拥挤。一旦发现问题,应及时就医,接受专业诊断和治疗。早发现、早干预,不仅能改善面容,还能提升口腔健康和生活质量。
珠海六和口腔
珠海六和口腔

TEL / 0756-8594084