珠海口腔医院

联合共建德国口腔标准
大湾区VIIV疑难数字化种植基地

接诊时间:09:00-18:00

官方客服:0756-8594084

主页 > 龅牙

2025-02-24

NEWS
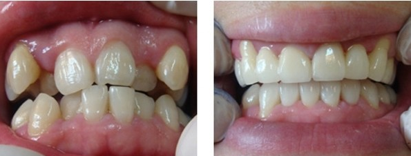
龅牙与心理健康
在当今社会,外貌对于个人自信心的建立有着重要的作用。而牙齿作为面部的重要组成部分之一,其美观程度直接影响着一个人的笑容和整体形象。珠海六和口腔医院认为龅牙作为一种常见的牙齿排列异常情况,不仅影响口腔健康,还可能对个体的心理健康产生深远的影响。
珠海六和口腔医院
龅牙带来的心理挑战
 
拥有龅牙的人可能会面临来自外界的负面评价或嘲笑,尤其是在青少年时期,这种负面的社会反馈容易导致自卑感、社交焦虑等心理问题。一些人可能会因此避免微笑或者尽量减少与他人的面对面交流,担心暴露自己的牙齿问题。长期以往,这可能导致更加严重的心理健康问题,如抑郁情绪或自我价值感降低。
 
心理健康的维护与提升
 
面对由于龅牙引起的心理困扰,首先需要认识到每个人都是独一无二且有价值的,外表并不能完全定义一个人的价值。家长和社会应当给予那些有牙齿问题的年轻人更多的理解和支持,帮助他们建立起积极的自我形象。
 
此外,寻求专业的心理咨询也是一个有效的途径。通过与心理咨询师交谈,可以帮助个体更好地理解和处理自己的情感反应,学习如何应对负面的社会反馈,从而增强自信心和个人魅力。
 
改善龅牙的方法及其对心理的正面影响
 
现代医学技术提供了多种解决龅牙问题的方法,包括传统的金属托槽矫正、陶瓷托槽矫正以及隐形矫正器等。选择适合自己的矫正方法不仅能改善牙齿排列,还能极大地提高个人的自信心和生活满意度。随着牙齿状况的改善,许多人报告说他们的社交活动变得更加活跃,同时也感受到了来自他人更为积极的反馈。
 
总之,珠海六和口腔医院建议虽然龅牙可能会给某些人带来心理上的挑战,但通过正确的治疗方法和心理支持,完全可以克服这些问题,重新找回自信的笑容。重要的是要记住,每个人的美丽都是独一无二的,关注内在的健康和幸福比追求完美的外在更重要。
珠海六和口腔
珠海六和口腔

TEL / 0756-8594084