联合共建德国口腔标准大湾区VIIV疑难数字化种植基地
接诊时间:09:00-18:00
官方客服:0756-8594084
VIIV疑难种植
数字化正畸
美白修复
舒适儿牙
全科诊疗
牙周诊疗
19/06/2025
搞笑还是冒犯关于龅牙的幽默段子该不该说
在日常生活中,我们经常会听到一些关于龅牙的调侃和段子。比如,你这牙齿太有个性了!、你的门牙是不是想出来透透气?这些话语有时会引发一阵笑声,但有时也会让人感到不适甚
27/05/2025
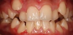
龅牙矫正的最佳年龄是什么时候
龅牙,也叫前突牙或牙齿前突,是常见的牙齿畸形之一,主要表现为上前牙或下前牙向前突出,影响面部美观和咬合功能。很多家长在孩子换牙期发现牙齿不齐、嘴唇外突等问题时,常
12/05/2025
龅牙影响咬合一文读懂功能性问题的重要
提到龅牙,很多人首先想到的是牙齿外突、嘴凸、影响颜值等外观问题。但其实,除了美观之外,龅牙对咬合功能的影响同样不可忽视。如果长期不矫正,不仅会影响咀嚼效率,还可能
TEL / 0756-8594084