联合共建德国口腔标准大湾区VIIV疑难数字化种植基地
接诊时间:09:00-18:00
官方客服:0756-8594084
VIIV疑难种植
数字化正畸
美白修复
舒适儿牙
全科诊疗
牙周诊疗
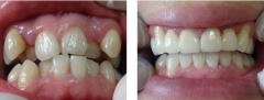
戴牙套会影响说话和饮食吗科学解答来了
在决定进行牙齿矫正时,很多人除了关心矫正的效果外,还会担心戴牙套对日常生活的影响,尤其是说话和饮食方面。确实,无论是传统的金属托槽、陶瓷托槽,还是隐形矫正器,都可
成人牙齿矫正 2025-06-03
成人牙齿矫正要多久费用贵吗
在日常生活中,许多人可能会忽视一些看似微不足道的习惯,比如夫妻之间共用牙刷。然而,这种习惯可能带来意想不到的健康风险,尤其是在涉及到口腔疾病如牙周炎时。那么,牙周
成人牙齿矫正 2025-05-19
成年后还能矫正牙齿吗很多人都搞错了这一点
我都30多岁了,还适合矫正牙齿吗? 年纪大了做矫正会不会太晚了? 矫正只是小孩子的事吧? 这些疑问,我们在临床上经常听到。其实,很多人对成人牙齿矫正存在误解,认为只有青
成人牙齿矫正 2025-05-07
TEL / 0756-8594084