联合共建德国口腔标准大湾区VIIV疑难数字化种植基地
接诊时间:09:00-18:00
官方客服:0756-8594084
VIIV疑难种植
数字化正畸
美白修复
舒适儿牙
全科诊疗
牙周诊疗
25/06/2025
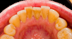
牙结石会导致牙齿松动脱落真相来了
很多人对牙结石的认识还停留在牙黄、口臭的阶段,殊不知,它可能是导致牙齿松动甚至脱落的隐形杀手。那么,牙结石真的会让我们失去牙齿吗?今天 珠海鼎植口腔医院 就来揭开这
11/06/2025
牙结石的危害有多大?这些后果你可能没想到
很多人对牙结石这个词并不陌生,但真正了解它危害的人却不多。不少人觉得牙结石只是牙齿上的一点脏东西,不影响吃饭、不疼不痒,就不用管它。其实不然! 牙结石是口腔健康的隐
19/05/2025
牙结石与糖尿病恶性循环的起点
在现代社会,糖尿病已成为威胁人类健康的主要慢性疾病之一。与此同时,口腔健康问题也日益受到关注,尤其是牙结石这一常见但容易被忽视的问题。近年来的研究发现,牙结石不仅
TEL / 0756-8594084