联合共建德国口腔标准大湾区VIIV疑难数字化种植基地
接诊时间:09:00-18:00
官方客服:0756-8594084
VIIV疑难种植
数字化正畸
美白修复
舒适儿牙
全科诊疗
牙周诊疗
19/06/2025
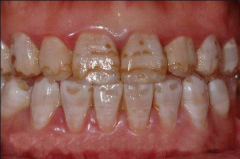
色素牙 vs 四环素牙氟斑牙一文教你分清楚
在日常生活中,很多人都会遇到牙齿发黄、发灰、甚至带黑斑的问题。很多人第一反应是我是不是色素牙?但其实,牙齿变色的原因有很多,常见的就有: 色素牙 四环素牙 氟斑牙 它们
05/06/2025
饮食习惯决定牙齿颜色这些食物最容易染色
在日常生活中,我们常常会发现:有些人即使每天认真刷牙,牙齿依然泛黄甚至发黑;而一些人却拥有洁白整齐的笑容。其实, 珠海鼎植口腔医院 认为除了遗传因素和口腔卫生状况外
19/05/2025
如何判断自己是不是色素牙这几个信号要留意
在日常生活中,很多人会发现自己的牙齿颜色并不理想,有的呈现出黄色、褐色甚至灰黑色。面对这种情况,很多人第一反应是是不是色素牙?其实,牙齿变色的原因有很多,而是否属
TEL / 0756-8594084