珠海口腔医院

联合共建德国口腔标准
大湾区VIIV疑难数字化种植基地

接诊时间:09:00-18:00

官方客服:0756-8594084

主页 > 色素牙

2025-05-19

NEWS
如何判断自己是不是色素牙这几个信号要留意
在日常生活中,很多人会发现自己的牙齿颜色并不理想,有的呈现出黄色、褐色甚至灰黑色。面对这种情况,很多人第一反应是“是不是色素牙?”其实,牙齿变色的原因有很多,而是否属于色素牙,珠海鼎植口腔医院认为需要结合具体表现来判断。
珠海鼎植口腔医院
一、什么是色素牙?
 
色素牙是指牙齿表面或内部出现颜色异常的改变,主要分为两大类:
 
外源性色素牙:色素沉积在牙齿表面,如咖啡、茶、烟渍等长期附着造成。
 
内源性色素牙:色素进入牙齿内部结构,如四环素牙、氟斑牙、牙髓坏死引起的变色等。
 
两者的成因不同,治疗方法也有所区别。因此,准确判断自己是否属于色素牙,是改善牙齿美观的第一步。
 
二、判断是否为色素牙的几个关键信号
 
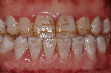
✅ 1. 牙齿颜色发黄或暗沉,但表面光滑无龋洞
 
如果你的牙齿看起来整体偏黄或有轻微褐斑,但牙齿表面没有明显蛀洞、裂痕或疼痛感,很可能是由于外源性色素沉积造成的。例如经常饮用咖啡、茶、红酒、吸烟等生活习惯容易导致此类问题。
 
✅ 2. 颜色不均匀,局部区域更明显
 
色素牙往往不是整颗牙齿都变色,而是集中在某些区域,比如牙缝、牙颈部位,或者靠近牙龈的地方颜色更深。这类情况多见于牙菌斑和牙结石长期堆积后形成的外部染色。
 
✅ 3. 刷牙后颜色略有改善,但无法彻底清除
 
如果使用美白牙膏或电动牙刷后,牙齿颜色看起来稍微亮了一些,但依然无法恢复原本洁白的状态,说明牙齿已经形成了顽固性的外源性色素沉积,仅靠日常清洁难以完全去除。
 
✅ 4. 曾经服用过抗生素(如四环素)
 
如果你小时候曾长期服用过四环素类药物,牙齿可能出现灰黄、棕褐色甚至蓝灰色的改变,并且颜色深浅与用药时间长短有关。这种就是典型的内源性色素牙——四环素牙,通常对冷光美白效果有限,需借助贴面或全冠修复。
 
✅ 5. 牙齿表面有白垩色、棕色斑点,甚至釉质缺损
 
如果你的牙齿表面出现白色、黄色或棕色的斑块,尤其是儿童时期生活在高氟地区,可能患有氟斑牙。这也是内源性色素牙的一种,属于发育期牙齿矿化异常所致。
 
✅ 6. 某颗牙齿突然变黑或变灰
 
如果只是某一颗牙齿颜色突然发生变化,尤其是曾经受过外伤或做过根管治疗的牙齿,可能是牙髓坏死引起的内源性变色。这种情况虽然不属于传统意义上的“色素牙”,但也会影响美观,需要及时就医处理。
 
三、如何初步自我判断?
 
你可以通过以下几个小方法进行初步判断:
 
观察法:对着镜子观察牙齿的颜色分布,是否有局部加深、条纹状或斑块状变色。
 
擦拭法:用干净纸巾或棉签轻轻擦拭牙齿表面,如果颜色能被擦掉一部分,说明是外源性色素。
 
回忆病史:回顾自己是否有长期服用某些药物、大量饮茶饮酒、吸烟等习惯。
 
试用美白产品:尝试使用美白牙膏或家用美白工具,观察短期内是否有改善。
 
四、确诊建议:最好咨询专业牙医
 
虽然我们可以通过上述信号大致判断是否为色素牙,但最准确的方式仍然是到正规口腔机构进行检查。医生会通过以下手段帮助你明确诊断:
 
口腔检查与拍照
 
X光片或牙体透照
 
染色测试
 
询问用药史和饮食习惯
 
根据诊断结果,医生可以为你制定个性化的治疗方案,如洗牙去色素、喷砂洁治、冷光美白、瓷贴面或牙冠修复等。
 
五、结语
 
珠海鼎植口腔医院建议牙齿变色不一定就是蛀牙,也不一定是不可逆的问题。了解自己是否属于色素牙,有助于选择合适的护理方式和治疗手段。如果你发现自己符合上述多个信号,不妨尽早前往牙科诊所做一次全面检查,告别“大黄牙”,重拾自信笑容。
珠海六和口腔
珠海六和口腔

TEL / 0756-8594084