联合共建德国口腔标准
大湾区VIIV疑难数字化种植基地
接诊时间:09:00-18:00
官方客服:0756-8594084
官网首页
HOME
品牌简介
BRAND
数字化科室
DIGITIZATION
专家智库
EXPERT
和粉故事
STORY
新闻中心
NEWS
联系我们
CONTACT US
主页
>
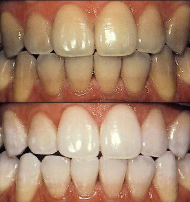
色素牙
2025-06-19
NEWS
色素牙 vs 四环素牙氟斑牙一文教你分清楚
在日常生活中,很多人都会遇到牙齿发黄、发灰、甚至带黑斑的问题。很多人第一反应是“我是不是色素牙?”但其实,牙齿变色的原因有很多,常见的就有:
色素牙
四环素牙
氟斑牙
它们虽然都表现为牙齿颜色异常,但在成因、表现、治疗方法上却大不相同。今天
珠海六和口腔医院
就来一一解析这三种常见牙齿变色类型,让你轻松分辨清楚。
一、色素牙:后天形成的“染色牙”
饮食习惯决定牙齿颜色这些食物最容易染色
2025-06-05
如何判断自己是不是色素牙这几个信号要留意
2025-05-19
色素牙 VS 牙结石你分得清吗
2025-05-07
如何通过改变生活习惯来减轻色素牙问题
2025-04-21
色素牙患者必读改善牙齿颜色的有效策略
2025-04-07
色素牙的心理影响及自我接纳的重要性
2025-03-27
友情链接 | Supervisory Unit
监督单位 | Friendship Link
珠海口腔医院
珠海鼎植口腔
鼎植医生集团
xml地图
TEL /
0756-8594084