联合共建德国口腔标准大湾区VIIV疑难数字化种植基地
接诊时间:09:00-18:00
官方客服:0756-8594084
VIIV疑难种植
数字化正畸
美白修复
舒适儿牙
全科诊疗
牙周诊疗
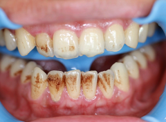
色素牙是什么
色素牙是指牙齿因为各种内外因素导致的颜色异常变化,主要表现为牙齿变色,颜色从轻微的黄色到深棕色不等。根据成因,色素牙可以分为内源性和外源性两大类。 外源性色素牙:
色素牙 2024-04-17
改善牙齿发黄,这些食物可以多吃
大家都知道牙齿是一个人的门面,一口洁白整齐的牙齿是一个人随身携带的名片,所以在平时的生活中要好好保养牙齿。在日常生活中多多食用以下食物可以有效地改善牙齿发黄的现象
美白修复 2023-10-12
TEL / 0756-8594084