联合共建德国口腔标准大湾区VIIV疑难数字化种植基地
接诊时间:09:00-18:00
官方客服:0756-8594084
VIIV疑难种植
数字化正畸
美白修复
舒适儿牙
全科诊疗
牙周诊疗
19/06/2025
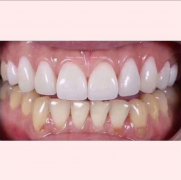
瓷贴面要磨牙吗一文解答所有疑问
瓷贴面作为近年来广受欢迎的牙齿美容修复方式,因其快速改善牙齿颜色、形态、排列等优势,深受爱美人士和明星的喜爱。但很多人在考虑做瓷贴面时,都会有一个核心疑问:瓷贴面
27/05/2025
瓷贴面修复后如何护理这些细节不能忽视
瓷贴面是一种微创、美观的牙齿修复方式,广泛应用于改善牙齿颜色不均、牙缝过大、轻度畸形或轻微错位等问题。它不仅能让牙齿焕然一新,还能在一定程度上提升个人形象和自信心
12/05/2025
瓷贴面安全吗牙医为你揭开背后的真相
在当今社会,越来越多的人开始重视牙齿的美观与整体形象。瓷贴面作为一种高端、自然且效果显著的牙齿美学修复方式,受到了越来越多人的青睐。然而,很多人心中仍有一个疑问:
TEL / 0756-8594084