珠海口腔医院

联合共建德国口腔标准
大湾区VIIV疑难数字化种植基地

接诊时间:09:00-18:00

官方客服:0756-8594084

主页 > 牙结石

2025-05-12

NEWS
牙结石反复出现可能是你忽略了这些习惯
很多人会有这样的困扰:明明刚洗完牙没多久,牙结石又悄悄“长”回来了,甚至伴有牙龈出血、口臭等问题。为什么牙结石总是反复出现?真的是“体质问题”吗?
 
其实,大多数情况下,牙结石反复并不是因为身体异常,而是日常生活中一些关键的口腔护理习惯被忽视了。今天珠海六和口腔医院就来盘点一下,那些可能导致牙结石反复出现的“坏习惯”,看看你中招了吗?
珠海六和口腔医院
一、刷牙方式错误,清洁不到位
 
很多人每天都在刷牙,但效果却大打折扣。如果刷牙方式不正确,牙菌斑就无法彻底清除,久而久之就会钙化形成牙结石。
 
常见误区包括:
 
刷牙时间不足2分钟;
 
没有使用巴氏刷牙法(即牙刷与牙齿呈45度角,轻柔地清洁牙龈边缘);
 
忽略刷牙龈线和后牙内侧;
 
使用过硬的牙刷或用力过猛,反而刺激牙龈,导致牙龈退缩。
 
✅ 建议:学习正确的刷牙方法,选择软毛牙刷,必要时可使用电动牙刷辅助清洁。
 
二、忽视牙缝清洁,细菌长期藏匿
 
牙刷只能清洁牙齿表面约60%的区域,剩下的缝隙则成了牙菌斑的“避风港”。特别是牙齿排列拥挤或有牙间隙的人群,更容易在牙缝中堆积菌斑,最终形成牙结石。
 
✅ 建议:
 
每天至少使用一次牙线或牙缝刷;
 
饭后及时漱口或使用冲牙器清理牙缝;
 
对于牙缝较大的人群,可考虑使用牙间刷进行深度清洁。
 
三、饮食结构不合理,促进牙石生成
 
某些食物容易附着在牙齿表面,为牙菌斑提供“营养”,加速牙结石的形成。例如:
 
含糖量高的食物(如甜点、饮料);
 
黏性大的食物(如糯米类、奶酪);
 
茶、咖啡等深色饮品,不仅染色,还易沉积牙菌斑。
 
✅ 建议:
 
减少高糖、高粘性食物的摄入;
 
喝完茶、咖啡后及时漱口;
 
多吃富含纤维的蔬菜水果,有助于自然清洁牙齿。
 
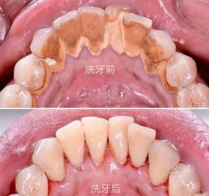
四、不定期洗牙,错过最佳预防时机
 
很多人只有在牙龈出血、牙齿敏感或明显感觉“有东西卡住”的时候才想到去洗牙,其实这时候牙结石已经形成并可能引发牙周炎。
 
牙结石一旦形成,就无法通过刷牙或牙线清除,必须依靠专业洁牙手段才能去除。
 
✅ 建议:
 
普通成年人每6~12个月洗牙一次;
 
牙周炎患者或牙结石高发者应缩短至3~6个月;
 
洗牙后定期复查,配合医生制定个性化维护计划。
 
五、吸烟或使用电子烟
 
烟草中的焦油、尼古丁等物质极易附着在牙齿表面,促进牙菌斑和牙结石的形成。同时,吸烟还会抑制牙龈血液循环,降低免疫反应,使牙周病更难控制。
 
✅ 建议:戒烟是改善口腔健康最有效的措施之一。
 
六、忽视全身健康对口腔的影响
 
一些慢性疾病,如糖尿病、高血压、免疫力低下等,会加重牙周组织的炎症反应,使牙结石更容易形成且难以控制。
 
✅ 建议:
 
控制基础疾病,尤其是血糖水平;
 
定期体检,关注全身健康状态;
 
如果患有慢性牙周炎,应与内科医生协同治疗。
 
七、忽略儿童早期口腔护理
 
很多家长认为孩子乳牙迟早会换掉,不用太在意口腔卫生。但实际上,乳牙阶段的牙结石同样会影响恒牙发育,甚至造成牙列不齐、咬合紊乱等问题。
 
✅ 建议:
 
从小培养孩子良好的刷牙习惯;
 
定期带孩子做口腔检查;
 
发现牙结石或牙龈红肿应及时处理。
 
结语:
 
牙结石反复出现,并不是“天生体质差”,而是你在日常生活中忽略了一些关键的口腔护理细节。想要真正远离牙结石,不仅要靠定期洗牙,更要从生活习惯入手:
 
✔️ 正确刷牙 ✔️ 清洁牙缝
 
✔️ 控制饮食 ✔️ 戒烟限酒
 
✔️ 定期洗牙 ✔️ 关注全身健康
 
保护好牙齿,就是守护健康的第一步。
 
珠海六和口腔医院建议如果你已经被牙结石困扰,不妨从现在开始,做出改变,让“石头”不再复发!
珠海六和口腔
珠海六和口腔

TEL / 0756-8594084