联合共建德国口腔标准大湾区VIIV疑难数字化种植基地
接诊时间:09:00-18:00
官方客服:0756-8594084
VIIV疑难种植
数字化正畸
美白修复
舒适儿牙
全科诊疗
牙周诊疗
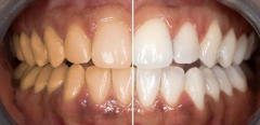
色素牙的有效预防措施
色素牙是指由于各种原因导致牙齿表面或内部出现颜色变化的情况,这不仅影响美观,还可能反映出个人的健康状况。有效的预防措施能够帮助减少色素牙的发生,保持牙齿的自然洁白
色素牙 2024-11-12
色素牙对口腔健康的潜在影响
在快节奏的现代生活中,人们越来越注重个人形象与健康。牙齿作为面部的重要组成部分,其美观度直接影响着个人的自信和社会交往。然而,随着年龄的增长或不良生活习惯的影响,
色素牙 2024-11-01
瓷贴片的成本效益分析
瓷贴片作为一种牙齿美容修复技术,因其能显著改善牙齿外观,提升个人形象而受到广泛欢迎。然而,对于许多考虑接受瓷贴片治疗的人来说,其高昂的费用往往是决定是否进行手术的
瓷贴面 2024-10-28
TEL / 0756-8594084