联合共建德国口腔标准大湾区VIIV疑难数字化种植基地
接诊时间:09:00-18:00
官方客服:0756-8594084
VIIV疑难种植
数字化正畸
美白修复
舒适儿牙
全科诊疗
牙周诊疗
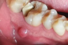
根尖炎是怎么回事
根尖炎是发生在牙齿根尖周围组织的炎症性疾病, 珠海鼎植口腔 医生介绍说通常是由于牙髓感染未得到及时有效的治疗,细菌及其代谢产物通过根尖孔向根尖周围组织扩散所致。 导致
根尖炎 2024-06-24
牙齿一直疼,可能是根尖炎在作怪!
牙疼,相信大家都不陌生,但有一种牙根尖周炎引起的疼痛,大部分人应该比较少听说过。今天我们一起来了解一下这个让我们牙齿疼个不停的根尖炎。 根尖炎按症状,可以分急性和慢
全科诊疗 2023-10-13
TEL / 0756-8594084